米良歯科医院
矯正治療について

矯正治療について 矯正治療の症例

矯正治療について

 最近は並びに問題のあるお子さんが増えています。特に食生活の変化により八重歯の子供が増加しているという報告もあります。
 ひどい八重歯があると歯磨きが困難になり、虫歯や歯周病を引き起こす原因になります。 またしっかりと咀嚼できないために顎の成長にも影響を及ぼすこともあります。 もちろん見た目にも美しい歯並びは皆さんの憧れです。

  ページトップへ

矯正治療の症例

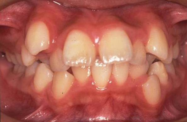
症例1.小児の矯正治療

 あごが小さい場合には拡大するための矯正装置を使用する場合もあります。
矯正時
矯正前 矯正後
矯正前 矢印 矯正後
矯正治療によりあごの幅が拡がり前歯の歯並びが改善しました
sen

症例2.学童期の矯正治療

 歯並びを改善することによりむし歯や歯周病になりにくい口の環境を創ることができます。
 口元の審美性も改善されます。
矯正時
矯正前 矯正後
矯正前 矢印 矯正後
sen

症例3.進行した歯周炎の患者さんに対する歯列矯正

 これによりかみ合わせた時に全体の歯に均一な力がかかるようになり歯周炎の再発を未然に防げます。
 またブラッシングも容易に行えるようになります。
矯正時
矯正前 矯正後
矯正前 矢印 矯正後
矯正治療により歯並びが改善しています
sen
  ページトップへ
〒890-0043 鹿児島県 鹿児島市 鷹師 2-8-18 米良歯科医院
トップページ院長・スタッフ紹介歯科用CTのご案内医院紹介歯周病について
歯周病治療についてインプラント治療について矯正治療についてホワイトニングのご案内
治療後の定期検診について
Copyright (c) 米良歯科医院. All Rights Reserved.